티스토리 뷰
목차

건강을 지키는 완벽 가이드. 폐렴의 모든 것을 알아보세요!
1. 폐렴의 주요 원인
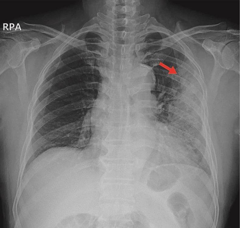
폐렴은 세균, 바이러스, 또는 곰팡이 감염으로 인해 폐에 염증이 생기는 질환입니다. 초기에는 감기와 비슷한 증상을 보이지만, 방치하면 호흡곤란, 패혈증 등 치명적인 합병증으로 이어질 수 있습니다. 특히 노인, 어린이, 그리고 면역력이 약한 사람들에게 더 위험하며, 조기 발견과 예방이 매우 중요합니다.
- 세균성 폐렴: 가장 흔한 형태로, 폐렴구균, 포도상구균 등이 주요 원인입니다.
- 바이러스성 폐렴: 독감 바이러스나 코로나19 바이러스와 관련된 경우가 많습니다.
- 곰팡이성 폐렴: 면역력이 약한 사람들에게 주로 발생합니다.
💡 특히 독감 이후 세균성 폐렴으로 발전할 가능성이 높으므로 독감 예방접종도 중요합니다.
2. 폐렴의 증상과 감기와의 차이점
폐렴은 초기에는 감기와 유사한 증상을 보이지만, 시간이 지나면서 뚜렷한 차이가 나타납니다.
초기 증상 (발병 첫 1~3일)
- 지속적인 기침과 가래 증가
- 39℃ 이상의 고열과 오한
- 숨을 들이쉴 때 가슴 통증
- 숨이 차고 호흡곤란
- 심한 피로감과 식욕 감소
💡 감기와 달리 고열(39℃ 이상)과 호흡곤란이 동반되면 폐렴을 의심해야 합니다.
진행 증상 (4~7일 이후)
- 가래 색 변화 (노란색, 녹색 또는 피 섞인 가래)
- 고열 지속 및 해열제 효과 없음
- 청색증(입술이나 손끝이 파랗게 변함)
- 의식 저하 및 심각한 피로감
감기와 폐렴의 차이를 표로 정리
| 구분 | 감기 | 폐렴 |
|---|---|---|
| 원인 | 바이러스 | 세균, 바이러스, 곰팡이 |
| 발열 | 미열 (38℃ 이하) | 고열 (39℃ 이상) |
| 기침 | 가벼운 기침 | 심한 기침과 가래 증가 |
| 호흡곤란 | 없음 | 숨참 및 빠른 호흡 |
| 가슴 통증 | 없음 | 숨쉴 때 통증 발생 가능 |
| 전신 증상 | 가벼운 피로감 | 심한 피로감 및 식욕 감소 |
💡 발열과 호흡곤란이 동반되면 감기가 아닌 폐렴일 가능성이 높습니다.
3. 폐렴 예방 방법 🌟
폐렴은 예방 가능한 질환입니다. 다음은 주요 예방 방법입니다:
💉 백신 접종
- 프리베나 13: 단백접합 백신으로 한 번 접종하면 평생 효과가 지속됩니다.
- 프로디악스 23: 다당질 백신으로 5년마다 접종해야 합니다.
💡 특히 65세 이상 노인과 만성질환자는 반드시 백신을 맞아야 합니다.
🛡️ 생활 속 실천 방법
- 금연 및 절주
- 손 씻기 생활화
- 독감 예방접종 병행
- 마스크 착용과 거리두기 실천
4. 폐렴 관리 방법 🏥
폐렴 진단을 받았다면 다음과 같은 관리가 필요합니다:
1. 항생제 치료
세균성 폐렴에는 항생제가 필수적입니다. 보통 7~14일간 복용하며, 입원 치료가 필요한 경우 정맥 주사를 사용합니다.
2. 대증 치료
- 해열제 복용으로 열 조절
- 충분한 수분 섭취로 가래 배출 도움
- 충분히 휴식하며 면역력 강화
💡 바이러스성 폐렴은 항생제가 효과가 없으므로 자연 회복을 돕는 것이 중요합니다.
5. 핵심정리
- 폐렴의 주요 원인은 세균, 바이러스, 곰팡이 감염입니다.
- 폐렴 증상은 고열, 기침, 호흡곤란 등이 있으며, 감기와 구별해야 합니다.
- 폐렴 예방을 위해 백신 접종은 필수적이며, 생활 습관 개선도 중요합니다.
- 폐렴 관리는 적절한 치료와 충분한 휴식이 필요합니다.
6. 폐렴 관련 자주 묻는 질문 (FAQ)
- Q: 폐렴은 전염되나요? A: 네, 일부 폐렴은 전염될 수 있으므로 개인 위생 관리가 중요합니다.
- Q: 폐렴 백신 접종은 몇 번 해야 하나요? A: 백신 종류에 따라 다르며, 의사와 상담 후 결정하는 것이 좋습니다.
- Q: 폐렴에 걸리면 얼마나 쉬어야 하나요? A: 증상과 개인 상태에 따라 다르며, 의사의 지시에 따라 충분한 휴식을 취해야 합니다.
이 글이 폐렴에 대한 이해를 높이고 건강 관리에 도움이 되기를 바랍니다.
지금 바로 가까운 병원에서 예방접종 여부를 확인하고 건강을 위한 첫걸음을 시작하세요!
하기 질병관리청에서 추가적인 정보를 구할 수 있으니 참고하시길 바랍니다.










































